IMPLANTE CERÁMICA
Implantes dentales de cerámica: tan natural y estético como la naturaleza.
Desde los años setenta se intenta fabricar implantes dentales libres de metal con la ayuda de materiales cerámicos. Un gran avance se consigue con las máquinas de fresado guiado por ordenador CAD/CAM capaces de trabajar la extrema dureza de la cerámica dióxido de circonio.
Desde 2006 usamos implantes de circonio con gran éxito.
A nivel mundial somos una las clínicas dentales con más experiencia en este campo y damos cursos a profesionales de la profesión en nuestro centro de formación CIAM.
¿Qué ventajas proporcionan estos implantes y para qué pacientes están especialmente indicados?:
- Pacientes con necesidad de implantes que prefieren un tratamiento 100% libre de metal
- Pacientes con una reacción inflamatoria (rechazo) al titanio (se puede saber con el test LTT (Test de Transformación de Linfocitos))
- Pacientes que buscan un resultado especialmente estético en la región anterior
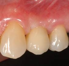
- La encía alrededor de las restauraciones sobre estos implantes siempre tiene un aspecto absolutamente saludable sin signos de inflamación
¿Por qué la mayoría de los profesionales no recomiendan implantes de cerámica?
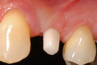
Hasta hace poco tiempo solo existían implantes de cerámica de una sola pieza por razones técnicas. Para el implantólogo es más difícil y requiere más práctica colocar este tipo de implantes en su posición óptima. El diagnóstico en 3D es una ayuda importante para lograrlo. En los primeros 2 meses, mientras se produce la osteointegración del implante, el profesional tiene que buscar para cada caso la mejor forma para proteger el pilar del implante que sobresale de la encía contra fuerzas que puedan provocar micro movimientos del implante que harían fracasar la correcta integración, es decir, la pérdida del implante. Además, el paciente tiene que tener especial cuidado, como por ejemplo no masticar en el lado del implante insertado. Con el avance tecnológico, ya es posible contar con implantes de circonio de dos piezas parecidos a los implantes de titanio. Parece que los resultados clínicos son favorables y nos permite simplificar el protocolo.


